資 料


30.牛の腎臓にみられた糸球体アミロイドーシス
〔長石貞保(奈良県)〕
 ホルスタイン種,雌,13歳,鑑定殺.10日ほど前から食欲減退,水様下痢,被毛粗剛,削痩および下顎浮腫などの症状を呈し,血液検査で高度の低蛋白血症(血清蛋白分画ではアルブミンとγ-グロブリンの減少およびα-グロブリンの増加)がみられたことから,アミロイドーシスを疑った.その後,予後不良と判断して鑑定殺を実施した.
 剖検では,左右の腎臓は褪色して硬結感があり,著明に腫大していた.腹腔内には透明漿液が貯留し,腸間膜および腸管壁は水腫状で脆弱であった.
 組織学的には,腎臓の糸球体は弱好酸性の硝子様物質が沈着し,顕著に腫大していた.また,ボーマン嚢壁が肥厚,糸球体が萎縮して線維化を認める部位もあった(図30).尿細管の多くは変性し,間質にはリンパ球等の浸潤もみられた.アミロイド染色としてダイレクトファーストスカーレット法を行ったところ,糸球体および間質小血管壁に陽性反応が認められた.チオフラビンTでは肝臓,脾臓および腸管の血管壁においても蛍光が認められた.
 病原検索で主要臓器から細菌は分離されなかった.
 以上から本症例は,全身性アミロイドーシスと診断された.
図30
糸球体は腫大し,好酸性均質物の沈着が認められる.
またボーマン嚢壁は肥厚し,周囲間質の線維化,
リンパ球の軽度浸潤が見られる(HE染色 ×100).
 

31.牛の大腸菌(O8)による尿細管間質性腎炎
〔高井 光(石川県)〕
 ホルスタイン種,雌,49カ月齡,鑑定殺.当該牛は,2002年1月上旬より左後肢を痛がり起立困難を呈し,加療したが改善されないまま1月25日に分娩した.その後,第四胃変位および肝炎を併発し,予後不良と診断され,3月4日病性鑑定に供された.
 剖検で,腎臓は小葉単位または小葉の一部が灰白色を呈し,漿膜面に不整形の顆粒状病巣が隆起,一部には膿瘍の形成もみられた.割面では固有構造は失われ,皮質から髄質にいたるまで灰白色病巣を認め,これらの変化は左腎で重度であった.
 組織学的に,腎臓病変部では皮質から髄質の間質に形質細胞,リンパ球およびマクロファージの著しい浸潤,線維芽細胞の高度な増生および菌塊の形成がみられ,このため近位および遠位尿細管は萎縮,腔は不整形を呈していた(図31).また,一部の遠位尿細管上皮は変性・剥離し,腔内には好中球,退廃物および蛋白液の貯留が認められた.動脈壁は中膜が肥厚し,比較的病変の軽度な部位では変性した中〜小動脈周囲にリンパ球およびマクロファージが結節性ないしび漫性に浸潤していた.抗Escherichia coli O8型抗体(動物衛生研究所)を用いた免疫組織化学的染色では,腎臓間質,浸潤したマクロファージの細胞質内および菌塊に一致して陽性抗原を認めた.しかし,動脈周囲の病変部では陽性抗原はみられなかった.
 病原検索では,腎臓よりEscherichia coli O8が純粋に分離された.血清生化学的検査ではBUN 4.9mg/dl,Cre 0.7mg/dlとやや低値を示した.
 本症例は大腸菌(O8)による尿細管間質性腎炎と診断されたが,血清生化学的には腎機能障害を疑わない症例であった.
図31
間質は線維化し,マクロファージ,リンパ球および形質細胞が高度に浸潤する.
尿細管は萎縮し,一部の管腔には好中球およびその残渣を容れる.
糸球体に著変は認められない(HE染色 ×50).
 

32.牛の腎臓の好酸性結晶析出をともなう近位尿細管の変性・壊死
〔甲斐貴憲(大分県)〕
 ホルスタイン種,雌,31日齢,斃死例(死後約半日で剖検).生後1カ月齢の子牛が血液の混入した下痢を呈し,抗菌製剤(セフェム系抗菌剤,サルファ剤およびゲンタマイシン)による治療にも反応せず,発病後1週間後に斃死したため病性鑑定を実施した.
 剖検所見では,腸間膜リンパ節の腫大が認められ,ホルマリン固定後の切り出し時には,腎臓の乳頭部に白色泥状物の蓄積が観察された.
 組織学的には,腎臓の近位尿細管上皮細胞の変性・壊死が認められ(図32A),髄質の集合管や乳頭管には好酸性均質,円形ときに針状の結晶が観察された(図32B).また尿細管管腔内に淡黄色・放射状の結晶も少数散見された.肺には気管支肺炎が認められた.腎臓切片においてDe Galanthaの尿酸塩結晶の染色を行ったところ,髄質に観察された好酸性結晶は染色されなかった.またシュウ酸カルシウムの染色(Pizzolato法)では.皮質尿細管腔や髄質の好酸性結晶に混在して染色性を示すシュウ酸塩結晶が散見された.
 病原検索では,小腸内容物から大腸菌が7.6×109CFU/g分離された.
 本症例は,好酸性結晶の析出をともなう近位尿細管の変性・壊死と診断され,抗菌剤が過剰に投与されていたことから尿細管の病変は抗菌剤による影響が疑われた.
図32
A:近位尿細管上皮細胞の変性と壊死(HE染色 ×400).
B:集合管および乳頭管内の結晶および腎乳頭部に付着している結晶
(右下)(HE染色 ×50).

33.鶏の腎臓における痛風結節の形成
〔庄山剛史(三重県)〕
 レイヤー種,雌,180日齢,斃死例.35,000羽を飼養する採卵鶏農場において,2002年3月から5月にかけて成鶏約5,000羽からなる一群に斃死鶏の増加が認められた.この間の総斃死羽数は約250羽であった.5羽(生体1,死体4)が病性鑑定された.
 剖検では,心膜に白色雲状斑の形成(2羽/5羽).肝臓に針先太白色点の密発(2/5),腎臓の腫大(4/5),腎臓に黄白色結節の密発ないし淡明化(4/5),脾臓の淡明化(1/5)および膝関節腔に白色泥状物質の貯留(1/5)が認められた.
 組織学的に,腎臓にびまん性に弱好塩基性ないし好酸性の針状尿酸塩結晶の沈着が認められた.この周囲には,偽好酸球および異物巨細胞が取り巻き,痛風結節を形成していた(図33).周囲の間質に少数の線維芽細胞の増殖が認められた.尿細管腔内および糸球体の毛細血管内にも同様の結晶が認められた.一部の尿細管に硝子様円柱や偽好酸球などの細胞円柱が認められた.一部の糸球体にメサンギウム細胞の増数が認められた.痛風結節は肝臓.心臓,心外膜,脾臓,肺および腺胃などにも認められた.
 病原検索では,肝臓,心臓,脾臓,腎臓および肺からは細菌は分離されなかった.
 血漿中の尿酸塩濃度は,発症鶏群(10羽平均)では561.5mg/dl,健康鶏の2群(6羽平均)ではそれぞれ6.0mg/dl,6.5mg/dlと発症鶏群で顕著に高値を示した.
 典型的な病変から,本症例は鶏の痛風と診断された.論議の中で1週齢未満の雛に見られる痛風と類似した所見であるが,成鶏で痛風の集団発生は珍しいとされた.原因として蛎殻の多給などが示唆されたが明らかにされなかった.
図33
糸球体や間質血管に生じた好酸性針状結晶と多核巨細胞をともなう肉芽腫反応
(HE染色 ×200).

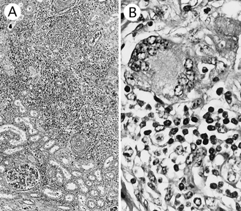
34.牛のリンパ濾胞性肉芽腫性間質性腎炎
〔安食 隆(島根県)〕
 交雑種,雄,7カ月齢,鑑定殺.陰毛の乾燥,膀胱膨満および排尿障害(BUN 46.7mg/dl,Cre 4.7mg/dl)を示したことから尿石症と診断し,尿道切開術を施した.施術により尿通があり,食欲を回復した.術後4日目のBUN,Creはそれぞれ24.3mg/dl,1.2mg/dlとなり,治療を中止した.その後状態が悪化し,3カ月後に予後不良と診断し鑑定殺した.
 剖検では,腎被膜は剥離困難で,腎臓表面は不規則に白色化し,腎実質でも地図状に白色化していた.膀胱腔内にはザラメ状の尿石がみられ,粘膜は肥厚して細顆粒状を呈しており,出血斑が散在した.
 組織学的には,腎臓の皮質・髄質に間質のリンパ球浸潤やリンパ濾胞様構造の形成(図34A)および肉芽腫性変化を認めた.ラングハンス型巨細胞もみられたが(図34B),抗酸菌染色は陰性であった.肉芽腫様構造の中心では細胞の変性・壊死を示すものがあった.近位尿細管上皮細胞はエオジン好性顆粒を多く容れ膨化し,遠位尿細管上皮細胞は水腫性に膨化していた.細胞浸潤の軽度な領域では,くさび状の病変分布を認めた.糸球体では半月形成を認めるものが散見された.腎杯および腎内尿管には特記すべき病変を認めなかった.膀胱では,移行上皮細胞の変性・剥離があり,粘膜下組織に炎症細胞の浸潤をともなった水腫性肥厚と一部リンパ濾胞様構造を認めた.腎臓および膀胱以外の臓器は検索しなかった.
 病原検索は行われていない.鑑定殺時のBUN,Creはそれぞれ30mg/dlおよび1.8mg/dlであった.
 本症例は,リンパ濾胞性肉芽腫性間質性腎炎と診断された.病因として上行性の細菌感染が推測されたが,その証拠は見いだせなかった.
図34
A:腎臓皮質にみられたリンパ球浸潤(HE染色 ×40).
B:肉芽腫性反応部に認められたラングハンス型巨細胞
(HE染色 ×400).
 
 
〈事例報告No. 35から次号へつづく〉


* (独)農業技術研究機構動物衛生研究所(〒305-0856 つくば市観音台3-1-5)
* National Institute of Animal Health (3-1-5 Kannondai, Tsukuba,305-0856)
† 連絡責任者: 三上 修(農業技術研究機構動物衛生研究所毒性病理研究室)
〒305-0856 つくば市観音台3-1-5
TEL 029-838-7818 FAX 029-838-7825
† Correspondence to : Osamu MIKAMI (National Institute of Animal Health)
3-1-5 Kannondai, Tsukuba, Ibaraki 305-0856, Japan
TEL 029-838-7818 FAX 029-838-7825