資 料


7.高齢の褐毛和種牛の延髄大型神経細胞にみられた好酸性細胞質内封入体
〔坂本徹朗(熊本県)〕
 褐毛和種,雌,14歳,斃死例(死後約6時間で剖検).肉用繁殖牛27頭を飼養する農家で2002年3月8日から食欲,飲水欲なく徐々に削痩し,12日から起立不能となった.肺炎症状がみられたので抗生剤等で治療を実施したが,翌日午前中斃死した.
 剖検では,肝臓は褪色し,大小の膿瘍がみられ,胆嚢は腫大していた.肺の前葉は炎症性で第一胃はガスで膨満していた.その他は著変なかった.
 組織学的には,病変部は脳幹部に主座し,脳幹部の大型神経細胞内に好酸性に染まる封入体がみられた(図7).封入体はヒアリン様で,形態も桿状,馬蹄形,類円形等大小さまざまで,アザン染色で赤色に明瞭に染まった.また,神経細胞質内にリポフスチンもみられたが,HE染色で黄褐色,PAS反応陽性,ルクソール・ファスト・ブルーで陽性に染まった.大脳尾状核の一部の血管壁には石灰沈着が認められた.心臓ではプルキンエ細胞内にもザルコシストがみられ,肺はうっ血・水腫で小葉間質も水腫性肥厚を示していた.肝臓では膿瘍がみられ,周囲にマクロファージ,線維芽細胞等が浸潤し肉芽腫を形成していた.また,小葉間結合織は肥厚し,胆管の増生がみられ肝小葉は萎縮していた.腎臓では皮質尿細管に黄褐色沈着物(ベルリンブルー染色陽性),髄質尿細管内に石灰沈着が認められた.
 病原検索では,BSEのELISA法による検査は陰性であった.
 本症例では神経症状等の臨床症状はなく,神経細胞内リポフスチン沈着,血管壁の石灰沈着等から加齢によるものと思われたが,過去に報告された長崎県や北海道の症例から褐毛和種における常染色体性劣性遺伝の可能性が示唆され,封入体脳症と診断された.
図7 延髄の大型神経細胞のリポフスチン(矢頭)
を伴う好酸性細胞質内封入体(矢印大).
類円形の封入体(矢印小)もみられる(HE染色 ×200).
 

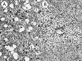
8.牛の延髄白質の空胞変性と肝小葉中心性の空胞形成および変性・壊死
〔戸田史子(千葉県)〕
 ホルスタイン種,雌,9歳5カ月齢,放血殺.2001年11月,第四胃変位整復手術後,第一胃の動きが微弱となり,食欲廃絶,水溶性下痢等,全身衰弱で予後不良と診断した.肉骨粉等給与牛であったため,牛海綿状脳症(BSE)検査のため当所に搬入された.
 剖検では,皮下脂肪は濃い黄色を呈し,眼結膜および外陰部粘膜に黄疸がみられた.肝臓はレンガ色を呈し脆弱,肺は左右後葉が脆弱で,表面数カ所に赤色隆起がみられた.腎臓は左右とも表面にゴマ粒大の黒色隆起物が点在し,灰白色箇所が数カ所認められた.また,乳房は硬結していた.
 組織学的には,延髄白質に大小不規則な空胞が多数確認された(図8A).空胞は延髄から小脳,中脳四丘体で確認されたが,大脳ではほとんど確認されなかった.肝臓では,小葉中心性に空胞形成が認められ,肝細胞の変性や壊死巣も認められた(図8B).腎臓では,糸球体の梗塞および出血,尿細管の空胞形成および壊死が認められた.脾臓では,褐色色素の高度な沈着がみられ,空胞も散見された.
 病原検索では,BSEのELISA検査は陰性であった.
 以上の所見から,本症例は肝性脳症が疑われた.
 図8
A: 延髄白質の空胞変性(HE染色 ×200).
B: 小葉中心性の肝細胞空胞形成(HE染色 ×50).
 

9.牛の第13胸髄に認められた灰白質の軟化をともなう白質の変性
〔高橋真紀(岩手県)〕
 ホルスタイン種,雌,5歳齢,鑑定殺.40頭の搾乳牛を飼養する農場において,1頭が進行性の起立および歩行異常を示した.当該牛は起立あるいは歩行時に後躯で体重を支えることが困難な様子であり,この異常は右側において顕著であった.食欲は正常で,音,光および触診に対する過敏反応は認められなかった.発病後11日に起立不能に陥り,剖検に供された.
 剖検では,第13胸髄を圧する被包化膿瘍が観察された.第13胸椎および第1腰椎の右側横突起の背側面に接する胸最長筋に,縦径,横径および長径がそれぞれ50,40および150mmの重厚な膿瘍膜を有する膿瘍が存在した.同膿瘍は第13胸椎の横突起および椎弓の一部を浸食,融解し,第13胸髄を圧していた.膿瘍膜に接する胸最長筋の間質には線維組織の増生がみられた.その他,線維性腹膜炎が観察された.
 組織学的には,主要病変は第13胸髄の灰白質の背角ならびに白質の腹索および側索に存在し,前者の病変は軟化,後者のそれは軸索の変性により特徴づけられた(図9).これらの病変は両側性に観察され,右側において顕著であった.軟化巣にはマクロファージの顕著な浸潤,出血ならびにリンパ球,マクロファージおよび好中球を主たる参画細胞とする囲管性細胞浸潤が認められた.右側の側索は膿瘍の圧迫により変形していた.腹索および側索では,多数の軸索の膨化および断裂がみられ,軸索周囲腔の拡張をともなっていた.拡張した軸索周囲腔には少数のマクロファージが存在した.同様の白質病変は軽度ながら第1腰髄にも存在した.膿瘍膜に浸潤するマクロファージの細胞質内に多量のArcanobacterium pyogenes 抗原が観察された.その他,慢性化膿性骨格筋炎,間質性腎炎および線維性腹膜炎が認められた.
 本症例は膿瘍による圧迫性脊髄症と診断された.脊髄への甚大な物理的圧迫は灰白質に出血,虚血,細胞浸潤および壊死を引き起こすことが報告されており,本症例の灰白質病変も同様の変化と考えられた.
図9 灰白質の軟化(矢印)をともなう白質の変性
(HE染色 ×12.5).
 

10.牛のBVD-MDウイルスによる小脳形成不全
〔上田雅彦(和歌山県)〕
 ホルスタイン種,雌,28日齢,鑑定殺.発生農場はホルスタイン種乳用牛を20頭飼養している酪農家で,母牛は2000年末に近隣の農家から導入され,翌年9月25日に当該牛を分娩した.当該牛は出生時外観上の異常は認められず,元気で吸乳力もあったが,起立困難,背彎姿勢,歩行困難および視覚障害等の症状を呈したため,予後不良と診断し鑑定殺を実施した.なお,母牛に対するワクチネーションはイバラキ病とIBRのみであった.
 剖検では,小脳はほとんど形成されておらず,薄い膜状を呈していた.延髄背側は露出し,大脳後頭葉が代償性に肥大していた.その他,側脳室,中脳水道および第四脳室の拡張が認められた.
 組織学的には,小脳の形成不全が認められた.小脳の大部分は著しく菲薄化し膜状を呈しており,比較的小脳構造の残っている部位も,皮質・髄質ともに菲薄化がみられた(図10).顆粒細胞およびプルキンエ細胞は少数で配列の不整も見られ,髄質の神経線維は粗鬆化していた.大脳では,側脳室周囲にグリア細胞の増加とグリア結節の形成がみられ,視床には囲管性細胞浸潤がみられた.脳幹部では,背側の神経細胞の粗鬆化,グリア細胞の増数および囲管性細胞浸潤がみられた.
 病原検索では,子牛血清,脳および脊髄の乳剤を用いた牛ウイルス性下痢・粘膜病(BVD-MD)のPCR検査は陰性であった.抗体検査では,BVD-MDが母牛血清で5月に2倍以下であったものが,分娩後は256倍に増加していた.子牛の脳脊髄液の抗体価は128倍であった.また,アカバネ,アイノおよびチュウザンウイルスに対する抗体価は母牛,子牛とも2倍以下であった.
 以上から,本症例はBVD-MDウイルス感染による小脳形成不全と診断された.
図10 小脳実質は著しい形成不全を示し,
空洞形成がみられる(HE染色 ×12.5).
 

11.肥育豚にみられたオーエスキー病ウイルスによる非化膿性髄膜脳炎
〔鬼塚 剛(鹿児島県)〕
 LW種,性別不明,120日齢,鑑定殺.2002年2月,母豚330頭規模の一貫経営農家において,2日間に隣接する数豚房で約120日齢の肥育豚8頭が神経症状を示して斃死した.検体はその同居豚で発熱,元気消失,眼の充血および目やにが認められ,てんかん様症状(痙攣,眼振および遊泳運動)を間欠的に示していた.オーエスキー病ワクチンは母豚にのみ接種されていた.
 剖検では,肺の癒着,小脳の出血様病変および胃粘膜の充出血がみられた.
 組織学的には,大脳,小脳および脳幹部軟膜にリンパ球浸潤がみられ,実質ではリンパ球を主体とする顕著な囲管性細胞浸潤とグリア結節が多発していた.特に大脳側頭葉皮質深層では神経細胞の変性・壊死およびグリア細胞のび慢性増殖がみられ,海綿状を呈し,脳実質には好中球のび慢性の浸潤がみられた(図11).扁桃ではリンパ濾胞の壊死,陰窩上皮細胞の変性・壊死および陰窩膿瘍が散見された.肺では一部の細気管支と肺胞において上皮細胞の剥離と好中球,マクロファージの軽度の浸潤がみられた.抗オーエスキー病ウイルス兎血清を用いた免疫組織化学的染色(SAB法)では,大脳側頭葉皮質深層の少数の神経細胞質内(散発性)および扁桃病変部の細胞質内に陽性抗原が認められた.
 病原検索では,大脳と扁桃からオーエスキー病ウイルスが分離された.血清学的検査では,オーエスキー病識別ELISAは陽性で,中和抗体価は8倍であった.主要臓器から病原細菌は検出されなかった.
 本症例は,哺乳豚で見られる非化膿性髄膜脳炎像に比べ重度であり,約4カ月齢の肥育豚にてんかん様の神経症状を示したまれな症例と考えられた.
図11 皮質の層状の壊死とグリア増殖,囲管性細胞浸潤,
髄膜の細胞浸潤がみられる(HE染色 ×25).
 

12.豚の脊髄白質の空胞形成と髄鞘低形成
〔伊藤麗子(埼玉県)〕
 交雑種,雄,1日齢,鑑定殺.繁殖母豚1,250頭を飼養する一貫経営養豚場で,2002年4月15日以降娩出された子豚に「ふるえ」が認められた.発生は初産の母豚のみで,哺乳力のない子豚は斃死したが離乳まで発育できたものでは「ふるえ」が消失した.2002年5月13日生の1腹12頭のうち特に症状の顕著な2頭を病性鑑定に供し,本症例はそのうちの1頭である.臨床症状は,犬座姿勢,全身性の痙攣,特に後躯のツイスト様運動が顕著にみられ,起き上がったときにのみ発現した.
 剖検では,肝臓が帯黄色で,腎臓表面の針尖大赤色点多発と腎盂が膠様であった他には著変を認めなかった.
 組織学的に,頸部脊髄から腰部脊髄にわたり白質に空胞形成がみられた.脊髄白質は容積がやや小さく髄鞘低形成が示唆された.空胞形成は小脳および延髄の白質でも観察された.肝臓および脾臓の髄外造血,肝臓の胆汁栓形成,体表リンパ節および気管気管支リンパ節でヘモジデリン沈着と軽度の好中球浸潤が観察されたが,その他の臓器には著変がなかった.ルクソール・ファスト・ブルー(LFB)染色および抗Myelin Basic Protein抗体を用いた免疫染色により髄鞘低形成が確認された(図12).
 病原検索では,細菌分離陰性,脳,脊髄および扁桃を用いたPCRによるPCV2核酸の検出は陰性であった.
 血液学的検査で異常は認められなかった.
 本症例は,典型的かつ重度の髄鞘低形成による先天性痙攣症と診断された.
 図12
A: 正常対照例,2日齢の子豚の脊髄白質
(LFB染色 ×200).
B: 髄鞘低形成の豚の脊髄白質.
本症例では,髄鞘に陽性を示すLFBの染色性は対照例と比べて
著しく低い(LFB染色 ×200).
 

13.兎のエンセファリトゾーンによる肉芽腫性脳炎
〔仲村和典(福井県)〕
 品種不明,雌,年齢不明,斃死例(死後約12時間で剖検).捨てられていた兎を収容し,ケージ内で飼っていたところ,収容後18日目から後躯麻痺となり,左後肢の先端部を自ら食いちぎるという自傷行為がみられ,33日目に斃死した.
 剖検では,後肢の外傷以外の目立った所見はなかった.
 組織学的には,脳全体の髄膜に軽度にリンパ球などの浸潤がみられた.実質では血管周囲にリンパ球,形質細胞および偽好酸球の浸潤がみられた.また,小壊死巣を類上皮細胞およびグリア細胞が取り囲む肉芽腫が散見された(図13A).壊死巣は石灰化しているものもみられた.壊死巣内および類上皮細胞内にWarthin-Starry染色およびグラム染色で陽性に染まる短桿状物を認めた(図13B).脊髄では軽度の囲管性細胞浸潤がみられた.肝臓の一部では軽度の肝細胞の変性,腎臓では軽度の間質性腎炎がみられた.
 病原検索では細菌は分離されなかった.
 以上の所見から本症例はエンセファリトゾーン症と診断され,壊死の強い症例とされた.兎において肉芽腫性脳炎と囲管性細胞浸潤の所見が認められた場合には本症が強く疑われるが,偽嚢胞が確認できない場合には特染により虫体を確認する必要があるとされた.
 図13
A: 中央に乾酪壊死を認める肉芽腫形成.
周囲組織に囲管性細胞浸潤顕著(HE染色 ×100).
B: 乾酪壊死巣内に認められたWarthin-Starry染色陽性の
短桿状遊離虫体(矢頭)(Warthin-Starry染色 ×1,000).
 

14.鶏のリンパ球様細胞の重度な腫瘍性増殖が認められた脳
〔村山修吾(新潟県)〕
 ボリスブラウン種,雌,115日齢,鑑定殺.約40,000羽を飼養する採卵養鶏農場で,115日齢の育成鶏群約6,000羽のうち約5%に2002年1月初旬から元気消失,削痩および斜頸等を呈し斃死するものがみられたことから,病性鑑定を実施した.発症鶏群は初生導入でマレック病ワクチンを接種済みであった.
 剖検では,削痩,右眼突出および強い斜頸を呈し,右眼視神経周囲に白色腫瘤を認めた.
 組織学的には,視葉および延髄の底面髄膜と脳実質浅層において,血管周囲および神経線維束に沿ったリンパ球様細胞の重度な腫瘍性増殖が認められた(図14).腫瘍細胞は大型〜小型と多形性を示し,核分裂像も多く,一部脳実質内への浸潤像も認められた.大脳および小脳では一部髄膜を除き腫瘍細胞の増殖は認められず,囲管性細胞浸潤が散見された.右眼腫瘤では視神経線維間から視神経周囲結合織に腫瘍細胞の増殖が認められた.その他の組織では,ファブリキウス嚢の濾胞萎縮以外に坐骨神経等の末梢神経および実質臓器に著変は認められなかった.
 本症例は,腫瘍細胞の形態ならびに同時に病性鑑定した他鶏の病理検査成績からマレック病と診断されたが,末梢神経や実質臓器では細胞浸潤や腫瘍性増殖を認めず,中枢神経に限局して腫瘍性増殖が認められたまれな症例であった.
図14 顕著な囲管性細胞浸潤と周囲組織への
リンパ球様腫瘍細胞の浸潤性増殖(HE染色 ×100).
(次号につづく)


* (独)農業技術研究機構動物衛生研究所(〒305-0856 つくば市観音台3-1-5)
* National Institute of Animal Health (3-1-5 Kannondai, Tsukuba,305-0856)
† 連絡責任者: 三上 修(農業技術研究機構動物衛生研究所毒性病理研究室)
〒305-0856 つくば市観音台3-1-5
TEL 029-838-7818 FAX 029-838-7825
† Correspondence to : Osamu MIKAMI (National Institute of Animal Health)
3-1-5 Kannondai, Tsukuba, Ibaraki 305-0856, Japan
TEL 029-838-7818 FAX 029-838-7825