| 14.豚 の 肝 臓 |
| 〔伊藤弘人(愛知県)〕 |
| 症例: |
豚(雑種),性別不明,推定6カ月齢. |
| 臨床的事項: |
特に異常を認めず. |
| 肉眼所見: |
肝臓外側右葉横隔面に直径約2cmの乳白色の腫瘤(腫瘤[1]),外側左葉臓側面に直径約3cmの茶褐色の腫瘤(腫瘤[2])を認めた.両腫瘤とも被膜に覆われ,周囲の肝組織との境界は明瞭であった.また,その割面は刀割にて膨隆し,大小に分画されていた.腫瘤[1]の割面は茶褐色で,腫瘤[2]の割面は赤黒かった. |
| 組織所見: |
腫瘤[1]は厚い結合組織性の被膜に覆われ,周囲の肝組織とは明瞭に区画されていた.また,結合組織によって大小に分画されていた.腫瘤を構成する細胞は肝細胞に類似し,細胞質は顆粒状,疎で弱好塩基性を示し,核は大小不同を示し核分裂像もみられた.これらの細胞は1〜2層の細い索状あるいは島状構造を呈した.また,出血,変性壊死像および髄外造血像がみられた.腫瘤[2]も[1]と同様の組織像を呈したが,細胞質は好酸性を示した.両腫瘤ともAB-PAS染色で腫瘤細胞質内に赤色顆粒状物質が確認された.アミラーゼ試験後PAS染色を行った結果,赤色顆粒状物質は消失した.したがって,腫瘤を構成している細胞の細胞質にはグリコーゲンが含まれていることが確認された.2つの腫瘤の細胞とも,HE染色でおもに1〜2層の細い索状構造および島状構造を呈した.また,鍍銀染色,IV型コラーゲンを証明するための免疫染色を行ったところ,鍍銀染色では細網線維が細胞を囲んでおり,免疫染色では,IV型コラーゲンが確認された. |
| 診断名: |
腫瘤[1],[2]ともに肝細胞癌(推察) |
| 討議: |
膜の破壊像がなく,また分裂像の頻度からも癌とすることに否定的な意見,結合組織における胆管の増生像から,再生性の過形成の可能性を指摘する意見等があり,診断名は推察とした. |
|
| 15.牛の腸間膜脂肪上の突起物 |
〔石神勝幸(静岡県)〕 |
| 症例: |
牛(肉用交雑種),雌,1歳6カ月. |
| 臨床的事項: |
平成12年12月18日,胃腸炎との申告で病畜として搬入された. |
| 肉眼所見: |
盲腸付近の腸間膜脂肪に透明感のある細い連絡部を介してつながる小指大の突起物を2つ認めた.一方は乳白色で(提出標本),他方は暗赤色だった.ともに硬さは中程度で,被膜で覆われており,割面は乳白色無構造だった. |
| 組織所見: |
乳白色の突起物の内部は脂肪細胞が大部分を占め,間質成分は少量だった.被膜付近や連絡部付近にも脂肪細胞はみられたが,これらの細胞の脂肪滴は,微細顆粒状または放射状に配列した針状を呈し,キシレンに不溶性だった.この部位では脂肪細胞間に膠原線維や好銀線維が増生するとともに,マクロファージが多数浸潤し,巨細胞も認められた.被膜は膠原線維からなっており,血管が分布し,黄褐色の顆粒が沈着している部位もあった.暗赤色の突起物は乳白色の突起物に比べ,被膜に分布する血管の量が多かった.連絡部も膠原線維からなり,突起物と腸間膜脂肪とを明瞭に区分していた. |
| 診断名: |
脂肪壊死を伴った腸間膜有茎性脂肪腫. |
| 討議: |
被膜にみられた黄褐色顆粒はヘモジデリンと思われる. |
|
| 16.豚 の 腎 臓 |
| 〔高橋慎一(大分県)〕 |
| 症例: |
豚(雑種),雌,6カ月齢. |
| 臨床的事項: |
一般畜として搬入.異常を認めなかった. |
| 肉眼所見: |
両腎はやや硬度を増し,褪色.表面全体に不整形の乳白色斑を認め,割面では病変は腎盂まで達し,境界はやや不明瞭で,これら乳白色病変内に白色で硬結した1〜5mmの小結節が散在していた.また,腎盂がやや拡張し,尿管壁の肥厚を認めた.他に,腸間膜リンパ節に乾酪壊死を認めた. |
| 組織所見: |
乳白色病変部では,糸球体は腫大し,メサンギウム細胞の腫大,増加がみられ,尿細管上皮細胞の硝子滴変性,間質への小円形細胞浸潤および結合組織の増生を認めた.また尿細管腔内に蛋白円柱,多核白血球,脱落した上皮細胞を認めた.白色硬結部では,動脈周囲に結合組織が増生し,動脈壁全層と周囲結合組織間に顕著にリンパ球,形質細胞や好酸球等が浸潤し結節状病変を形成していた.これらの動脈は内膜が求心性に肥厚し,内腔は狭小化していた.エラスチカ・ワンギーソン染色では,病変部動脈の内弾性板は断裂,消失し,動脈構造の破壊が認められた. |
| 診断名: |
腎炎と動脈周囲炎. |
|
| 17.豚 の 膀 胱 |
| 〔須藤亜寿佳(山形県)〕 |
| 症例: |
豚(雑種),雌,年齢不明(繁殖用). |
| 臨床的事項: |
異常を認めず. |
| 肉眼所見: |
膀胱壁は水腫性に著しく肥厚していた.粘膜面は全体が赤色で,小豆大からうずら卵大の腫瘤が多発していた.これらの腫瘤の上部には黄色の偽膜様物が付着していた.膀胱内に尿を含めて貯留物は認めなかった.腎臓は検査できなかったが,その他の臓器に著変はなかった. |
| 組織所見: |
膀胱粘膜全層にわたって高度に好中球が浸潤し,化膿性炎像を呈していた.粘膜上皮細胞の重層化著しく,粘膜は肥厚していた.粘液を貯え著しく大型化した上皮細胞が粘膜下織に陥入していた.これらの細胞が持つ粘液は弱好塩基性,PAS陽性で,同様の物質は粘膜表面にも認められた.一部の粘膜上皮は壊死,脱落し,脱落上皮とともに細菌塊を認めた.粘膜下織は著しく水腫性で毛細血管が発達し,リンパ球の浸潤も観察された.粘膜上皮細胞の腺上皮細胞様の変化が,上皮層内にとどまり,浸潤性増殖や異型性を示さないことから腺性化生と考えられた. |
| 診断名: |
腺性化生の顕著な化膿性膀胱炎. |
|
| 18.牛の子宮の腫瘤 |
| 〔藤巻 勤(山梨県)〕 |
| 症例: |
牛(黒毛和種),雌,推定3歳. |
| 臨床的事項: |
特になし. |
| 肉眼所見: |
子宮頸部から左右子宮角にかけて10×7×5cm,5×4×3cm,7×5×5cmの硬い腫瘤が3個みられ,刀割により乳頭状に著しく膨隆し,その割面は白桃色,分葉状であった.これらには肉眼的に連絡はなかった.主要臓器に著変はなかった. |
| 組織所見: |
腫瘤は線維成分に富む部分と,リンパ球様の腫瘍細胞が充実性に増殖している部分より成り,一部に壊死を認めた.リンパ球様腫瘍細胞は子宮粘膜下から筋層にかけてみられ,周囲の筋層を圧排して増殖していたが,ときに浸潤性に増殖する部分があった.腫瘍細胞は中型で,細胞質に乏しく,核は類円形で,クロマチンは中程度,数個の核小体を有していた.腫瘍細胞が充実性に増殖している部分では,核分裂像およびstarry-sky像がみられた.腫瘍内には膠原線維が細かく入り込み,一部胞巣構造を示す部位もあった.鍍銀染色では好銀線維が腫瘍細胞間に網目状に入り込み,数個から十数個の腫瘍細胞を取り囲んでいた. |
| 診断名: |
牛の子宮のリンパ腫. |
| 討議: |
標本の固定状態が悪く,自己融解が著しい. |
|
| 19.牛の頭蓋腔内の腫瘤 |
| 〔上野一生(富山県)〕 |
| 症例: |
牛(ホルスタイン種),去勢,3歳. |
| 臨床的事項: |
起立位で搬入されるも,沈鬱,下顎部の下垂,流涎を認めた.眼球は動かず,眼瞼反射の消失や流涙が観察された.音に対する反応は鈍かった. |
| 肉眼所見: |
頭蓋底,下垂体窩に約5×6cmの腫瘤を認めた.腫瘤は灰白色,卵円形で弾力があり,硬膜と強く癒着していた.下垂体窩は,正常下垂体窩より著しく深かかった.割面は,灰白色充実性で,下垂体腔と思われる間隙を認め,出血,壊死等はみられなかった.その他諸臓器に著変はなかった. |
| 組織所見: |
腫瘤の組織像は多様であり,腫瘍細胞がび漫性に増生する部位(図3),腫瘍細胞間にリンパ球様細胞が浸潤する部位,好酸性細胞と好塩基性細胞が結節性に増生する部位,線維に富む間質で区画され,好酸性細胞が腺様構造をつくる部位を認めた.腫瘍細胞は細胞質に乏しく,核は類円形でクロマチンに乏しく,明瞭な核小体を1〜数個有し,分裂像が散見された.腫瘍細胞はPAS・オレンジG染色陰性,抗下垂体産生ホルモン抗体を1次抗体とした免疫染色で陰性であった. |
| 診断名: |
下垂体腺腫(嫌色素性細胞腫). |
| 討議: |
分裂像の頻度がやや高く腺癌も疑われたが,転移がなく,骨への浸潤もないことから腺腫と診断した.また,大脳への移行,視神経の変化の確認,切り出し方向の明確化等の指摘があった. |
|
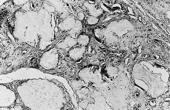
| 図3 |
嫌色素性の腫瘍細胞のび慢性増殖部(HE染色 ×200倍).(富山県食検出題) |
|
| 20.豚の抗酸菌症 |
| 〔岩切 章(宮崎県)〕 |
| 症例: |
豚(雑種),雌,6カ月齢. |
| 肉眼所見: |
腸間膜リンパ節に乾酪壊死と肝臓全葉に数mmの白色病巣が散在していた. |
| 組織所見: |
肝臓およびリンパ節の病巣には,リンパ球,類上皮細胞,好酸球および巨細胞が浸潤しており,肉芽腫性炎像を呈していた.チール・ネルゼン染色で腸間膜リンパ節に陽性菌が認められたが,肝臓では確認できなかった. |
| 細菌検査: |
原因菌の確認,同定のため結核菌検査指針に従い,NALC-NAOH遠心集菌法にて,リンパ節,肝臓,肺から抗酸菌を分離し,これらよりDNAを抽出しPCRを行ったところ,Mycobacterium
avium に特異的なバンドが確認された. |
| 診断名: |
Mycobacterium avium による豚の抗酸菌症. |
|
| 21.豚の全身性抗酸菌症 |
| 〔田中伸子(横浜市)〕 |
| 症例: |
豚(雑種),雌,推定6カ月齢. |
| 臨床的事項: |
特記すべき病歴なし. |
| 肉眼所見: |
腸間膜,肝,気管気管支,右内側腸骨,左膝窩,左鼠径の各リンパ節に直径1〜3mmの乳白色,結節状病巣が散発〜多発していた.肝臓には直径1mm以下の微小白色病巣が3個みられた.腎臓では皮質に点状白色病巣が多発していた.肺病変の有無は不明で,その他の臓器に肉眼的変化は認められなかった. |
| 組織所見: |
先述した各リンパ節すべてに肉芽腫病変が認められた.病変は石灰化を伴う乾酪壊死巣を中心に,主としてこれを取り巻く類上皮細胞,多核巨細胞および線維芽細胞より成っていた.肝臓病変は組織学的に好酸球の浸潤を伴う間質炎であり,腎臓病変は糸球体腎炎であり,いずれにおいても肉芽腫病変は認められなかった.Ziehl-Neelsen染色により,腸間膜,気管気管支,左浅頸,右内側腸骨,左腸骨下,左右鼠径の各リンパ節に抗酸菌が確認された.また肉芽腫病変のみられなかった肝臓および腎臓にも少数の抗酸菌が存在し,肝臓ではクッパー細胞と思われる細胞内に,腎臓では間質の細胞内に確認された.その他の臓器に著変は認めなかった. |
| 診断名: |
豚の全身性抗酸菌症(組織診断名:肉芽腫性リンパ節炎). |
| 討議: |
本症例は肝臓に肉芽腫のみられない全身性抗酸菌症であった. |
|
| 22.肺と肝臓に白色結節を形成した抗酸菌症 |
| 〔木村政明(青森県)〕 |
| 症例: |
豚(雑種),去勢,6カ月齢. |
| 臨床的事項: |
健康畜として搬入され,特に異常は認められなかった. |
| 肉眼所見: |
肺左右後葉胸膜に直径5mm程度の楕円形,乳白色結節が散発していた.割面は乳白色,充実性で実質との境界はやや不明瞭だった.肝臓の横隔面および臓側面には針頭大〜米粒大,円形〜多角形の乳白色結節が密発していた.その割面は肺の結節とほぼ同様であったが,実質との境界は明瞭だった.肺および肝臓の結節は軽度に隆起し,弾力性を有していた.結節内部には乾酪壊死や石灰化はみられなかった.肝リンパ節は4×2×2cm大に腫大していたが,割面に乾酪壊死や石灰化はみられなかった.腸間膜リンパ節は,腫大・硬化しており,割面の中心部に石灰化の顕著な黄白色乾酪壊死巣を認めた.その他の臓器に著変は認めなかった. |
| 組織所見: |
肺の結節ではリンパ球浸潤が高度で,マクロファージや多核巨細胞もみられた.肝臓の結節ではリンパ球浸潤は軽度で,類上皮細胞および多核巨細胞が集簇した肉芽腫性炎像を呈していた.肺と肝臓の結節に被膜はみられなかった.肝リンパ節では皮質に肉芽腫性炎を認めた.腸間膜リンパ節では,中心部に石灰化を伴う壊死巣があり,この周囲に膠原線維が増生していたが,辺縁部では類上皮細胞の浸潤・増殖がみられた.チール・ネルゼン染色では肺,肝臓,肝リンパ節および腸間膜リンパ節に抗酸菌を認めた. |
| 診断名: |
豚の全身性抗酸菌症. |
|
| 23.ブロイラーの腹腔内臓器に多発した腫瘤 |
| 〔河田正史(岐阜県)〕 |
| 症例: |
鶏(チャンキー),雌,59日齢. |
| 臨床的事項: |
不明. |
| 肉眼所見: |
腹腔内臓器(十二指腸,空腸,回腸,肝臓,卵巣)の漿膜面に,鶉卵大(3×2.5×2cm)〜米粒大の白色〜淡桃色の腫瘤が多発していた.腫瘤には半透明な部分があり,平滑筋腫の質感に比較して質軟であった.腫瘤の表面や割面に微細な赤色病巣がみられた. |
| 組織所見: |
十二指腸と卵巣の腫瘤は,粘液性の基質中に腫瘍細胞が疎に分布する部分と紡錘形の腫瘍細胞が集簇している部分より成っていた.細胞密度が高い部分での腫瘍細胞の配列は不規則で,部分的に膠原線維が増生していた.腫瘍細胞は多形性を示したが,多くは紡錘形で,網目状の細胞質を持つ細胞も認められた.多数の核分裂像がみられた.また,血管が豊富でうっ血している部分もあった.粘液性基質部は,アルシアン青pH
2.5染色で陽性,PAS染色陰性を示した.免疫染色で十二指腸腫瘤部の腫瘍細胞は,α-平滑筋アクチン陽性,デスミン,リゾチーム,S-100蛋白陰性であった. |
| 診断名: |
粘液産生が豊富な平滑筋肉腫(いわゆる鶏の粘液肉腫). |
| 討議: |
免疫染色の結果から平滑筋肉腫と診断したが,粘液細胞主体であり形態的には粘液肉腫に一致するので,診断名にこれを併記した. |
|
| 24.鶏の胸部腫瘤 |
| 〔長谷川尚子(新潟県)〕 |
| 症例: |
鶏(採卵用),雌,日齢不明. |
| 発生状況: |
平成12年12月13日に搬入された13,521羽中の1羽. |
| 肉眼所見: |
右側胸部に8×5×2cm大,左側胸部に7×5×2cm大の腫瘤を認めた.左右の腫瘤は浅胸筋と深胸筋の間に位置し,鎖骨と胸骨陵の間で連絡していた.これらの病変は充実性かつやや柔軟で,割面は灰白色,一部乳白色を呈し,周囲組織との剥離は比較的容易であった.諸臓器に著変はみられなかった. |
| 組織所見: |
腫瘤は,線維細胞様の腫瘍細胞が主体をなし,細胞密度が高い部分と低い部分が認められた.細胞密度が高い部分では腫瘍細胞は不規則に交錯して束状ないし渦巻状に増殖し,低い部分では疎に増殖していた.腫瘍細胞は類円形〜楕円形で大小不同の核を有し,細胞質は弱好酸性〜好塩基性,輪郭は不明瞭で,分裂像がまれに認められた.アザン染色で青染する細線維が腫瘍細胞間に認められ,鍍銀染色では腫瘍組織内に細網線維が若干みられた.PTAH染色で,青染する部分はほとんどなかった. |
| 診断名: |
神経鞘腫. |
|
| 25.しゃもの足関節の腫瘤 |
| 〔根本広士(福島県)〕 |
| 症例: |
鶏(しゃも),雄,154日齢. |
| 発生状況: |
1ロット251羽のうちの1羽に発生. |
| 肉眼所見: |
削痩し,両側の中足趾節関節および趾節間関節に母指頭大〜ピンポン玉大の腫瘤が多発していた.腫瘤はやや硬く,内部には白色泥状物の貯留がみられた.諸臓器に著変は認められなかった. |
| 組織所見: |
腫瘤は多数の結節からなり,結節内部には,エオジンに淡染する均質あるいは細線維状の物質や針状結晶がみられ,これら貯留物周囲を異物巨細胞およびマクロファージが包囲していた(図4).結節周囲には線維芽細胞の増殖もみられた. |
| 診断名: |
関節型痛風. |
|
| 図4 |
結合組織間に沈着する多数の無定形な物質(尿酸).その周囲にわずかなマクロファージ,異物巨細胞が浸潤(×100倍).(福島県食検出題) |
|
〔編集責任:全国食肉衛生検査所協議会病理部会事務局
新潟県食肉衛生検査センター 後藤公吉〕 |
* 新潟県食肉衛生検査センター 食鳥検査課
(〒957-0064 新発田市奥山新保字矢詰430) |
| * Niigata Prefectural Meat Insection Center (430 Yazume, Okuyamashinbo,
Shibata 957-0064, Japan) |
| † 連絡責任者: |
佐藤 博
(新潟県食肉衛生検査センター 食鳥検査課)
〒957-0064
新発田市奥山新保字矢詰430
TEL 0254-24-5281
FAX 0254-26-2117 |
| † Correspondence to : |
Hiroshi SATO (Niigata Prefectural Meat Inspection Center)
430 Yazume, Okuyamashinbo, Shibata
957-0064, Japan
TEL 0254-24-5281
FAX 0254-26-2117 |
|